Precision Engineered, Perfect Smiles

High-Quality Dental Restoration,
Delivered with Accuracy

OR

Dedicated to providing the best possible quality, service, and technology, DigiTech is a, upscale Chicago dental laboratory.

As a leading provider of dental restorations, we specialize in zirconia crowns, bridges, implants, and ceramic CAD/CAM restorations.

At DigiTech Dental Laboratory, we are dedicated to providing dentists with the highest quality dental restorations that enhance both aesthetics and oral health.

Our team utilizes the latest technology and
techniques to create custom-made
restorations that are durable, functional,
and natural-looking.

01

Full Contour Restorations with Zirconia

Crowns, Bridges, Veneers, Inlays, Onlays

02

Implant Restorations

Digital Implant Crowns and Bridges

03

CEREC Software and Work flow Support

Our cutting-edge CAD/CAM equipment and techniques allow us to create highly personalized, functional, and aesthetically pleasing restorations

By staying at the forefront of dental technology, we can offer your patients the best possible outcomes and elevate your practice’s reputation.

Implants Warranty

Trusted Partnership for Exceptional Restorations

At DigiTech Dental Laboratory, we combine advanced technology with expert craftsmanship to deliver high-quality dental restorations. We are proud to partner with Atlantis® by Dentsply Sirona, a global leader in custom prosthetic solutions for all major implant systems.

Atlantis® abutments are designed for cement-, screw-, and friction-retained restorations, offering a strong and esthetic foundation for long-term success. One of the key benefits of this partnership is access to the Atlantis® Titanium Lifetime Warranty, giving patients and doctors added confidence in every case.

For more information about warranty coverage on our products, please contact our sales representative, Atlantis® by Dentsply Sirona – Patryk DeVries, at 309-360-6877.

OR

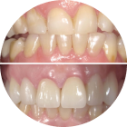
The incredible results that can be achieved
with DigiTech's custom dental
restorations.

Find out why so many
dental professionals
select DigiTech. 

With our cutting-edge technology and skilled experts, we provide everything you need to give your patients outstanding outcomes.

Welcoming clinic, prompt service, and a dentist who made me at ease. Treatment was virtually painless. A top choice for dental care.

Paweł W. June 2023

DigiTech Dental Laboratory can help you deliver exceptional dental restorations to your patients.

OR